How does skin hold you in? How do heart cells beat together? Researchers at the University of California, Davis, Department of Biomedical Engineering, are exploring how structures called desmosomes, which stick cells together, function and react to mechanical stress.
New work from Professor Sanjeevi Sivasankar’s lab, published Oct. 10 in Nature Communications, shows how a desmosome protein can respond to mechanical stress and potentially send signals within the cell.
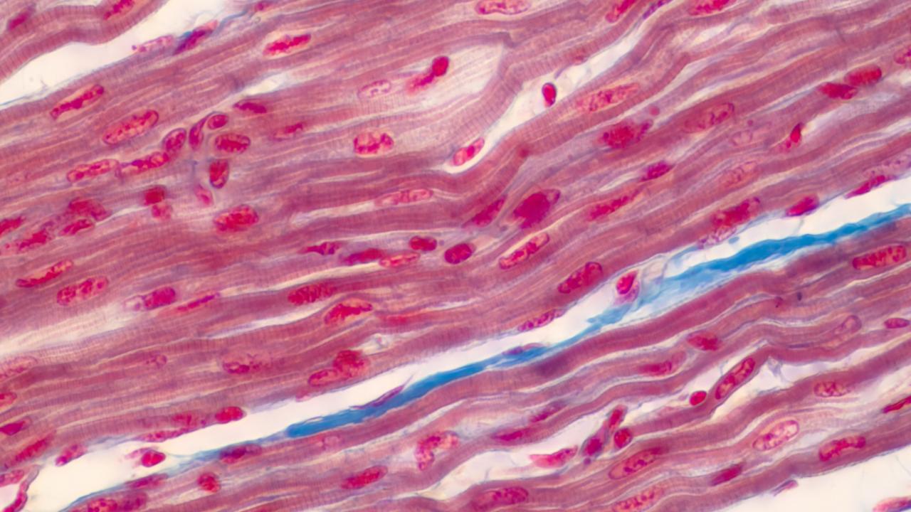
Desmosomes are structures on the cell surface that stick cells together. They are found especially in tissues that are under a lot of mechanical stress, such as skin and heart muscle. On the outside of the cell, desmosomes include proteins called cadherins that attach to partners on neighboring cells. Within, they include proteins that are attached to a network of keratin fibers called intermediate filaments, which give cells their shape and provide structural stability to tissues. That’s distinct from the actin/myosin network, a set of protein fibers that moves stuff around inside cells.
Since desmosomes are present in stress-prone tissue, they must be capable of sensing and responding to mechanical forces. But it’s not known how this happens, Sivasankar said.
Graduate student Yinchen (Belle) Dong, working with colleagues at UC Davis, the Catholic University of America and University of Pittsburgh School of Medicine, carried out a series of studies visualizing desmosomes and measuring mechanical forces inside the cell.

Working with human cell lines and mouse heart cells, they found that the intermediate filaments transmit forces from the actin/myosin network to one of these desmosome proteins, desmoplakin. When that happens, part of desmoplakin opens up into a stretched configuration, like stretching a spring. That open configuration exposes a site on the desmoplakin that could set off signals to other parts of the cell.
“What we show is that mechanical forces cause desmoplakin to open up and expose a site that allows other proteins to bind,” Sivasankar said.
Desmoplakin has been linked to some skin and heart conditions, including a rare heart condition called arrhythmogenic ventricular cardiomyopathy (AVC), which can cause sudden cardiac arrest, notably in young athletes with no previous symptoms. Genetic mutations linked to AVC cluster in the “stretchable” region of desmoplakin, Sivasankar said. The team plans to study how such mutations might affect desmoplakin.
Additional coauthors are Bin Xie at UC Davis; Ahmed Elgerbi and John Choy, Catholic University of America, Washington D.C; Yerin Han and Adam Kwiatkowski, University of Pittsburgh School of Medicine. The work was supported by grants from the National Institutes of Health.
Media Resources
Actomyosin forces trigger a conformational change in desmoplakin within desmosomes (Nature Communications)