Skip to main content
UC Davis
UC Davis Logo

UC Davis

UC Davis Logo
  • myUCDavis
  • MyAdmissions
  • Make a Gift to UC Davis
  • Emergency Services
  • Campus Map
  • Calendar
  • Visit
  • Apply
  • Jobs
  • Athletics
  • Academic Dates
  • Canvas
  • General Catalog
  • Schedule Builder
  • Commencement
  • Student Health
  • Student Parents
  • Alumni
  • UC Davis Stores
  • Directory
  • Campus COVID Information

Main navigation (extended config)

  • About Us
    • Administration
      • Initiatives
      • Principles and Policies
      • Top Administrative Units
      • Org chart
      • Staff Resources
        • Computing Resources
    • Inclusive Excellence
    • Rankings
    • Locations
      • In the Middle of Everywhere
        • Bay Area day trips
        • Beach day trips
        • Wine country day trips
      • Transportation
        • Join 'Team Bike'
      • Unique to UC Davis
    • Sustainability
    • Visit UC Davis
      • Campus Tour
      • Plan Your Visit
      • Directions and Parking
      • Tour Guides
      • Welcome Center
      • Virtual Tour
    • UC Davis Health
    • Student Safety
      • Urgent Assistance
      • Crime and Misconduct
      • Mental Health & Wellbeing
      • Discrimination and Harassment
      • Sexual Harassment, Violence, and Relationship Abuse
      • Free Speech
      • Transportation Safety
      • Basic Needs
      • Lab and Environmental Safety
  • Admissions
    • Undergraduate Admissions
      • Apply to UC Davis
        • Admitted First-years
        • Admitted Transfer Students
        • After You Apply
          • Deferred Enrollment
          • Reporting Changes After Admission
          • Applicant Waitlist
        • Application Review Criteria
        • Personal Insight Questions
      • First-year Admission
        • Freshman Admission Requirements
          • Advanced Placement Exams
          • International Baccalaureate Exams
        • Freshman Application Tips
        • Freshman Timeline
        • Freshman Special Situations
      • Transfer Admission
        • Plan Your Transfer
        • Transfer Admission Requirements
        • Transfer Application Tips
        • Transfer Timeline
        • Transfer Admission Guarantee
          • TAG Requirements
          • TAG Decisions
          • TAG FAQs
          • TAG Counselor Resources
            • Counselor Contacts
            • TAG Evaluations
        • Transfer Special Situations
        • Transfer with International Records
        • Selective Major Requirements
          • Major Requirements: CAES
          • Major Requirements: CBS
          • Major Requirements: CLS
          • Major Requirements: COE
          • Major Requirements: GSM
      • International Admission
        • International Exam and Visa Requirements
        • International Records
        • International Student Resources
      • Events
        • Discover UC Davis
        • Aggie Transfer Scholars Weekend
        • Aggie to Be
      • Contact Undergraduate Admissions
      • Parents and Families
      • Counselors
    • Undocumented Applicants
    • Graduate Admissions
    • Professional Admissions
    • Cost & Aid
      • Financial Aid and Scholarships
      • Higher Education Emergency Relief Fund
      • Next Steps
      • Educational Opportunity Program
    • Apply to UC Davis
  • Academics
    • Majors
      • Majors Blog
        • Career Preparation
          • Research
          • Advising
          • Beyond the Classroom
          • Honors Programs
          • Internships
        • Individual Majors
        • Undeclared and Exploratory Majors
        • Subscribe
        • Top 10 majors
    • Minors
    • Graduate Programs
    • Professional Programs
    • Colleges and Schools
      • Academic Departments
      • College of Agricultural and Environmental Science
      • College of Biological Sciences
      • College of Engineering
      • College of Letters and Science
      • Graduate School of Management
      • Graduate Studies
      • School of Education
      • School of Law
      • School of Medicine
      • School of Nursing
      • School of Veterinary Medicine
    • Our Faculty
      • Faculty Resources
        • Teaching Resources
      • Women in STEM
        • Battling Barriers, Bias to Retain and Recruit STEM Talent
        • Building Community to Benefit Physics Students
        • For the love of wild things
        • Heart health pioneer, STEM champion
        • The STEM Road Less Traveled
        • Using STEM to improve lives
    • Study Abroad
  • Research
    • From Labs to Lives
    • Undergraduate Research
    • Graduate Research
    • Office of Research
    • Library
    • Museums and Collections
    • Research Partners
  • Campus Life
    • California’s College Town
      • The College Tour
    • Housing
    • Dining
    • Things to Do
      • Arts and Culture
      • Traditions
        • #ourUCDavis
        • Fall Welcome
        • Homecoming
        • Picnic Day
      • Arboretum
      • Campus Poster Calendars
      • Commencement
      • Calendar
    • Student Jobs
    • Clubs and Communities
    • Athletics
  • News
    • Latest News
    • In Focus Features
    • University News
      • Dateline
    • Magazine
    • Social Media
      • Social Media Guidelines
    • Student News
    • Blogs
    • Podcasts and Shows
      • Face to Face
      • That May Be the Chancellor
      • The Backdrop
      • Thursday Thoughts
      • UC Davis LIVE
      • Unfold
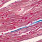
Red stripes cross the image from lower left to upper right. Darker red ovals are inside each stripe.

A Stretchy Protein Senses Forces in Cells

  • by Andy Fell
  • October 10, 2025
  • Egghead
  • Advancing Health Worldwide
Subscribe to Desmosomes Content

UC Davis

  • UC Davis Health
  • Veterinary Medicine
  • UC Davis Continuing and Professional Education
  • UC Davis Stores
  • UC Davis Arts
  • UC Davis Mobile Apps
  • Hiring UC Davis Students and Alumni
  • Make a Gift to UC Davis

Students

  • Orientation
  • Student Resources
  • Graduate Students
  • Student Parents
  • Commencement
  • Career Center
  • Jobs and Internships
  • Parents

Alumni

  • Cal Aggie Alumni Association
  • Career Connections
  • Member Benefits
  • Transcripts
  • UC Davis Magazine

Faculty

  • Resources
  • Teaching
  • Research
  • Benefits
  • Faculty Governance

Staff

  • Resources
  • Training
  • Benefits
  • Jobs
  • Staff Assembly
  • Website Feedback
UC Davis footer logo

University of California, Davis, One Shields Avenue, Davis, CA 95616 | 530-752-1011

  • Questions or comments?
  • Privacy & Accessibility
  • Principles of Community
  • University of California
  • Last update: October 14, 2025

Copyright © The Regents of the University of California, Davis campus. All rights reserved.

This site is officially grown in SiteFarm.